Dental Bridges
An Immediate + Permanent Solution for Missing Teeth
Understanding Dental Bridges
A dental bridge (aka tooth bridges or fixed partial dentures) seamlessly replaces missing teeth by anchoring an artificial tooth to the adjacent natural teeth. This time-tested solution provides both aesthetic and functional benefits, helping patients regain their confident smile and proper bite alignment.
A Dental Bridge can Replace a Missing Tooth Immediately
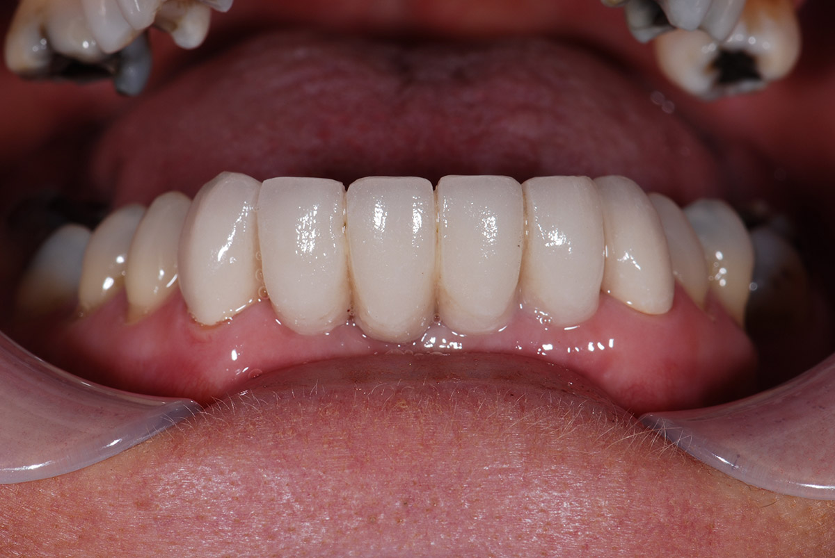
When done properly, it is difficult to see which teeth are actually missing. For example, I delivered the six unit bridge below and most people can’t see that this patient lost their four lower front teeth.

Request a Free Consultation
This site is protected by reCAPTCHA and the
Google Privacy Policy and Terms of Service apply.
Immediate Results
From Missing Tooth to Perfect Smile in Just Two Visits
Unlike other tooth replacement options that may require months of treatment, dental bridges offer a remarkably quick solution. The entire process typically requires just two appointments: one for preparation and temporary placement, and another for permanent installation.
For patients who have just lost a tooth, a bridge can often be fabricated the same day, minimizing any time spent with a visible gap in your smile.
A Non-Surgical Alternative to Dental Implants
Benefits of Choosing Dental Bridges
Dental bridges offer several distinct advantages over other tooth replacement options. They require no surgical intervention, making them an excellent choice for patients who prefer to avoid invasive procedures.
The bridges are permanently cemented in place, providing stability and confidence in your smile without the need for removal during cleaning or sleeping.


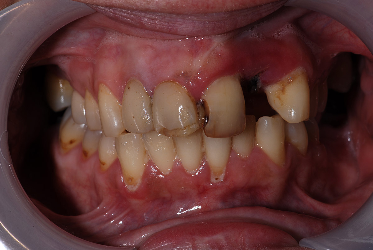
Before & After photos of a new dental bridge


Before & After photos of a new dental bridge
The Bridge Creation Process
Precision Crafting for Perfect Results
During your first appointment, the adjacent teeth are carefully prepared to support the bridge, and precise impressions are taken to ensure a perfect fit. You’ll leave wearing a natural-looking temporary bridge that’s securely cemented in place. At your second appointment, this temporary bridge is replaced with your permanent, custom-crafted restoration, completing your smile transformation.
Decades of Proven Durability
Long-Term Success
With proper care and maintenance, dental bridges can last 20 years or more. Success stories abound of patients whose bridges have served them beautifully for decades.
The key to longevity lies in maintaining good oral hygiene and attending regular dental check-ups to ensure the bridge and supporting teeth remain healthy.


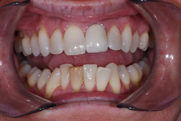
Before & After photos of a new dental bridge


Before & After photos of a new dental bridge
Simple Maintenance for Lasting Results
Caring for Your Dental Bridge
Maintaining your dental bridge is straightforward and integrates easily into your regular oral hygiene routine. Special cleaning tools and techniques help ensure the area around and under the bridge stays healthy. Regular professional cleanings and check-ups will help protect your investment and ensure your bridge continues to function perfectly for years to come.
Custom Dental Bridges Near You
Convenient Location in Waltham, MA
Dr. Cummings combines specialized training and modern technology to create custom dental bridges right here in Waltham. With his on-site lab and 35+ years of experience, he’s the best qualified dentist to create your dental bridge in this area.
Dental Bridges can be a simpler solution than full mouth dental implants, requiring no surgery or wait, and we’re here to answer your questions.